ابدأ رحلتك نحو ابتسامة مثالية

خدمات تقويم الأسنان

ابتسامتك المثالية تبدأ هنا

نقدم أحدث تقنيات تقويم الأسنان للحصول على ابتسامة جميلة ومتناسقة. فريقنا الطبي المتخصص يضمن لك أفضل النتائج بأعلى معايير الجودة.

خبرة عالية

فريق كبير من المختصين

نتائج سريعة

علاج فعال في أقصر وقت ممكن

رعاية شاملة

متابعة دورية حتى الوصول للنتيجة المثالية

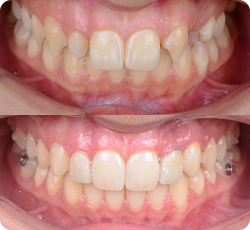
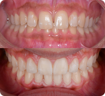
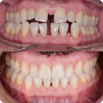
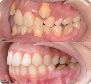
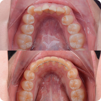
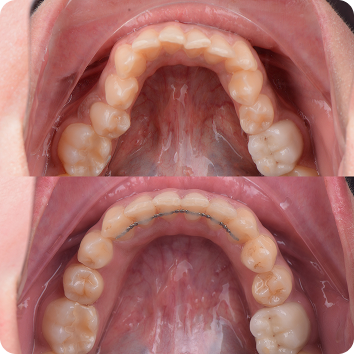
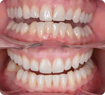
نتائج حقيقية لعملائنا

ما نقدمه لك

تقويم شفاف غير مرئي

تقويم معدني تقليدي

تقويم

خطة علاج مخصصة لكل حالة

أقساط مريحة